虫歯が原因で「抜歯しかない」と言われて悩んだ経験はありませんか?
やはり「抜歯」と聞いたら不安になってしまいますよね。
確かに、医学的に見て残すことが難しい歯は存在します。しかし、虫歯が原因で抜歯と言われた場合でも、歯根(しこん:歯の根っこの部分)の状態によっては残せる可能性があることをご存じでしょうか。
その選択肢のひとつがエクストリュージョンという治療法です。
エクストリュージョンは、歯茎の下に埋もれている健康な歯根を、矯正の力でゆっくりと引き上げて、被せ物ができる状態にする方法のことです。虫歯が深く進行していても、条件が整えば自分の歯を残せるかもしれません。
今回は、そんなエクストリュージョンについて解説します。
虫歯で「抜歯が必要」と言われる歯はどんな状態?

抜歯について知っておくべきことのコラムでも解説しましたが、虫歯が進行し、抜歯を勧められるケースにはいくつか共通点があります。
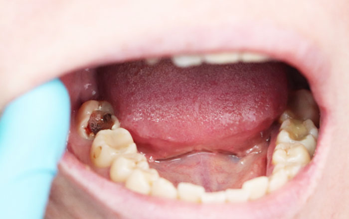
まず多いのが、虫歯が歯茎の下まで深く入り込んでいる状態です。歯の見えている部分(歯冠)が大きく崩れ、土台となる歯質がほとんど残っていないこともあります。
例えば、
- 被せ物が外れたら内部が大きく崩れていた
- 差し歯の中で虫歯が進行していた
- 神経を取った歯が長年の負担で割れかけている
このような場合、単純に被せ物をやり直すことができません。
被せ物をつけるには「のりしろ」が必要
フェルールと生物学的幅径

被せ物をつける際に重要になるのがフェルールという概念です。患者さんからすると、聞き馴染みのない難しい言葉かと思います。
フェルールをわかりやすく言うと、被せ物をしっかり固定するための、いわば「のりしろ」のことです。封筒にフタをのり付けするとき、のりしろが広いほどしっかりくっつきますよね。
歯も同じで、歯茎より上に健康な歯が1.5〜2mm以上、周りに残っていないと、被せ物をしっかり固定できません。のりしろが足りなければ、被せ物は食事のたびにグラつき、やがて外れたり、歯ごと割れたりしてしまいます。

そして、もうひとつ知っておいていただきたいのが、生物学的幅径(せいぶつがくてきふくけい)という考え方です。
これは、歯と歯茎、骨が健康を保つために必要な「侵してはいけない距離」のことを指します。虫歯がこの領域まで達している状態で、無理に被せ物を装着すると、慢性的な炎症や腫れを引き起こしてしまう可能性があります。
こうした理由から、「このままでは治療が成立しない」と判断した場合、抜歯を提案することがあるのです。
歯冠がなかったら抜歯しか方法はない?

歯は大きく分けて、歯冠(しかん:歯茎より上の目に見える歯の部分)と、歯茎の下に隠れている歯根(歯の根っこの部分)で構成されています。
虫歯で歯冠がボロボロになっていても、歯根の状態が良ければ、それを土台として歯を復活させられる可能性があります。具体的には、以下の条件が揃っているかどうかがポイントです。
- 歯根に縦のヒビが入っていないこと
- 歯根の長さが十分に残っていること
- 周囲の骨がある程度残っていること
このような条件が整っていれば、保存できる可能性があります。そして、残っている歯根を、「被せ物を装着できない状態」から、「被せ物を装着できる状態」へと持っていくようにします。
エクストリュージョンってどんな治療?

画像出典:モリタ DENTAL PLAZA
エクストリュージョンとは、歯茎の下に埋もれている歯根を、矯正の力を使ってゆっくりと引き上げる治療法です。日本語では矯正的挺出法(きょうせいてきていしゅつほう)といいます。
虫歯が歯茎の下まで進行していても、そのさらに下には健全な歯質が残っていることが少なくありません。エクストリュージョンでは、健全な資質が残る部分をゆっくりと引き上げ、歯茎より上に露出させていきます。
歯並びの矯正と同様に、毎日少しずつ歯を移動させていくイメージです。実際の治療には、矯正治療で用いるブラケットやインプラントアンカー(※)、ワイヤーなどを利用します。
(※)インプラントアンカーについて詳しく知りたい方は、提携医院である町田歯科の矯正治療で使うインプラントアンカー(TAD)って?のコラムをご参照ください。
時間をかけて歯をゆっくり動かすのがポイント

時間をかけて歯をゆっくり動かすことで、周囲の骨や歯茎に無理な負担をかけずに歯を引き出すことができます。
歯を引き出すことで十分な高さが確保できれば、先述のフェルールと生物学的幅径を確保できるようになり、被せ物の長期安定も望めるようになります。
また、エクストリュージョンと併せて、骨や歯茎の位置を整える処置(クラウンレングスニング※)を行うこともあります。
(※)クラウンレングスニングについて詳しく知りたい方は、提携医院である町田歯科の重症な虫歯を抜かずに治す、クラウンレングスニングとエクストリュージョンのコラムをご参照ください。
エクストリュージョンのメリット
では、具体的にエクストリュージョンのメリットをご紹介しましょう。
自分の歯を残せる可能性がある

一番のメリットは、自分の歯を残せる可能性があるということです。
たとえば、天然の歯根には歯根膜(しこんまく)という薄い膜があり、噛んだときの力加減や食感を脳に伝えてくれていますが、インプラントの人工歯根にはこの歯根膜がないため、天然歯と同じ感覚を再現することはできません。
また、自分の歯が残っていれば、将来的に他の治療が必要になったときの選択肢も広がります。
体への負担が少ない

侵襲性(しんしゅうせい:手術等により肉体が受けるダメージのこと)が比較的少ない点もメリットです。
インプラントのように骨を削ったり埋入したりする処置とは異なり、矯正力を利用するため、身体への負担は限定的なものに留めることができます。
費用をインプラントより抑えられる場合がある
エクストリュージョンは自由診療(健康保険が使えない治療)ですが、費用の目安は1本あたり3万〜10万円程度です(医院や症状によって異なります)。
これに被せ物の費用が加わりますが、インプラント(1本あたり30万〜50万円程度)などの治療と比べると、費用を抑えられるケースも多いと言えるでしょう。
エクストリュージョンのデメリット
もちろんエクストリュージョンにはメリットだけでなく、デメリットもあります。
時間がかかる

矯正の力で歯を動かすには、体の自然な反応を利用する必要があります。そのため、お伝えしたように、治療全体で数ヶ月という期間が必要です。
「今すぐどうにかしたい」という場合には、もどかしく感じるかもしれません。
歯根が短くなる

歯を上に引き上げるということは、その分だけ骨に埋まっている歯根の長さが短くなるということです。
もともと歯根が短い歯の場合は、引き上げた後の安定性に不安が残ることがあります。
治療後はずっと安心というわけではない
歯を残せたとしても、そのあとのケアを怠れば再び虫歯や歯周病になる可能性はあります。
「残すこと」がゴールではなく、「残した歯を長く使い続けること」がゴールだと考えましょう。
それでも抜歯が適切なケースもあります

残念ながら、以下のような場合には抜歯が適切と判断されることが多くなります。
- 歯根が縦に割れている(歯根破折)
- 虫歯が歯根の深部まで進行している
- 歯根の長さが極端に短い
- 周囲の骨が大きく失われている
このような状態で無理に歯を残そうとすると、かえって再治療や炎症を繰り返すリスクが高まってしまう可能性も出てきます。保存するか抜歯するかの判断は、「今」の状態だけでなく、これから先のことも見据えて行うのが大切です。
抜歯を決定する前に

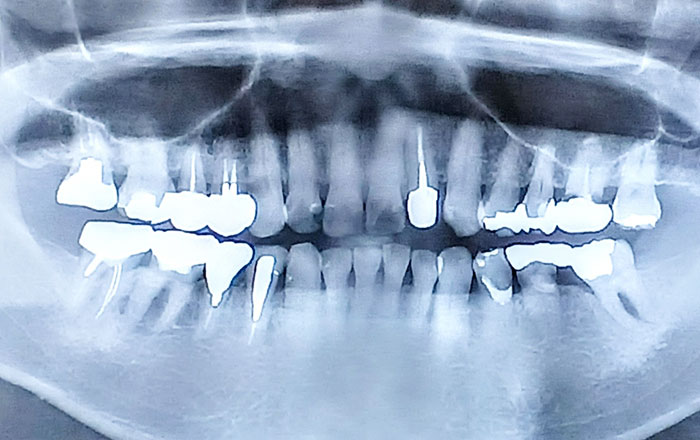
抜歯を提案されたときこそ、精密な診断が重要になります。
通常のレントゲンは平面的な画像であるため、歯根の形や周囲の骨の状態を十分に把握できないことがあります。一方、歯科用CTを使えば、顎の骨や歯根を三次元で確認でき、破折の有無や病巣の広がりまで、より正確に読み取ることが可能です。
抜歯は、CTなどの精密な検査をもとに、治療の選択肢とそれぞれのメリット・デメリットを理解したうえで判断するのが望ましいと言えるでしょう。場合によっては、他の歯科医院でセカンドオピニオンを受けるのもひとつの方法です。
「抜歯と言われたら、すぐに決断」ではありません。治療方法によっては、事前に細かな計画を立てて臨むケースもあるため、抜歯を決める前に、治療方針をしっかりと確認しておくことがポイントになります。
可能な限り、ご自身の歯を残せる治療法を

今回お伝えしたように、抜歯と言われた歯でも、条件が整えばエクストリュージョンによって保存できる可能性が出てきます。
もちろん、すべての歯を残せるわけではありません。しかし、抜歯はあくまで最終手段。まずはきちんと歯科医院で話し合い、ご自身の歯を残せる可能性を探るようにしましょう。
桜新町駅前歯科では、トータルバランスを重視した治療を行い、患者さんご自身の歯でいくつになっても噛めることを大切にしています。
「抜歯と言われたけれど、本当に残せないのか知りたい」「エクストリュージョンが自分の歯に適応できるか相談したい」という方は、ぜひ一度、桜新町駅すぐそばの桜新町駅前歯科へご相談ください。


